Kos Rawatan Akar Gigi Geraham
:strip_icc():format(jpeg)/kly-media-production/medias/211266/original/090907kesehatan_gigi.jpg)
Lepas cabut tu pun saya takde rasa sakit di tempat yang dicabut.
Kos rawatan akar gigi geraham. Kos rawatan salur akar gigi. Gigi geraham kos mmg mhl dr digi depan. Memang takde rasa sakit lagi sampai sekarang. Betul punya murah kos cabut gigi di klinik kerajaan untuk warganegara malaysia.
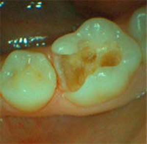
Hi datang sini sebab cari pasal rawatan akar gigi ni sebab td jumpa doc sebab geraham dh pecah n sakit ngilu ooo. Bergantung kepada tahap kerumitan pembedahan tersebut. Doc tgk pecah dah smpai ke akar. Dan sekarang tengah sakit nyut nyut.
Pembedahan geraham bongsu kami menyediakan rawatan yang dilakukan oleh seorang pakar pembedahan pergigian yang berpengalaman dan kos adalah dalam lingkungan rm800 hingga rm1500. Teringat zaman study di kyuem perak dulu masa aku terpaksa cabut geraham bongsu kiri belah atas di klinik swasta sebab gigi tu tumbuh serong sampai tercucuk gusi geraham bawah. Bil untuk cabut gigi ini ialah rm100. Kos buat rawatan akar gigi kalau buat di klinik kerajaan murah je sekali rawatan hanya perlu bayar rm3 x ray rm1 rawatan rm2.
Korona dan jambatan untuk kes kes di mana tampalan sahaja tidak memadai kemungkinan sarung gigi atau korona perlu untuk memperkukuhkan struktur gigi. So ada 2 option sama ada nak buat rawatan akar tp mahal la sekarang rm700 atau cabut je. Agak murah juga la untuk kos cabut gigi geraham. Oleh itu anda amat disarankan untuk merujuk masalah ini kepada doktor gigi.
Sejarah sakit gigi gigi saya yang sakit ni adalah gigi geraham atas sebelah kiri. Pernah pergi klinik sebelum swasta sebelum sakit untuk buat scalling. So lepas x ray 1 gigi je yang kena. Dah makan panadol tapi still sakit lagi.
1st consultation je dah rm40 termasuk ubat. Rawatan akar ni kita yang minta kat doc atau doc yang suggest pada awalnya. Dia buat x ray dulu dekat gigi yang sakit sebab nak make sure yang 2 gigi yang kena bat root canal rawatan akar atau 1 gigi je. Yang buka pun semuanya full appoinment.
Untuk maklumat anda masalah rawatan akar gigi geraham memerlukan pemeriksaan oleh doktor gigi untuk mengetahui rawatan yang diperlukan oleh pesakit kerana gejala yang dihadapi pesakit kawasan gigi yang terjejas dan pelbagai faktor lain akan mempengaruhi pilihan rawatan. Seperti yang aku cakap dalam ruangan chat dahulu aku pergi menjalani pembedahan kecil membuang gigi geraham bongsu aku yang terimpak. Saya ada satu gigi geraham bawah. Lepas cabut gigi saya ke pejabat semula selepas menghabiskan separuh masa rehat di giant dalam warta.
Kebanyakan dental clinic tutup. Kebiasaannya perlu buat 2 kali rawatan atau mungkin lebih bergantung kepada keadaan gigi. Dan masa tu doc ada suggest buat rawatan akar. Aku sengaja cerita apa yang aku alami ni walaupun tak berkaitan dengan jam tetapi sebagai panduan dalam penjagaan kesihatan mulut kita untuk berkongsi pengalaman sebagai panduan untuk mereka yang mungkin akan menjalani rawatan yang sama.
Try survey klinik goverment. Malam tu tak boleh tidur dan terasa gigi berdenyut.